Усмішки, які говорять
самі за себе
Ми пишаємося показати вам наші найкращі роботи та успішні кейси. Кожна усмішка, яку ми створюємо, є унікальною і відображає нашу пристрасну працю та професіоналізм. Погляньте на наші вражаючі результати та дайте нам можливість перетворити вашу усмішку в шедевр стоматології.
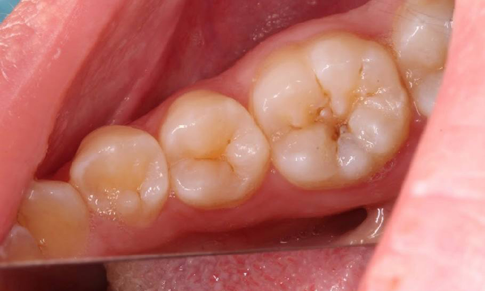
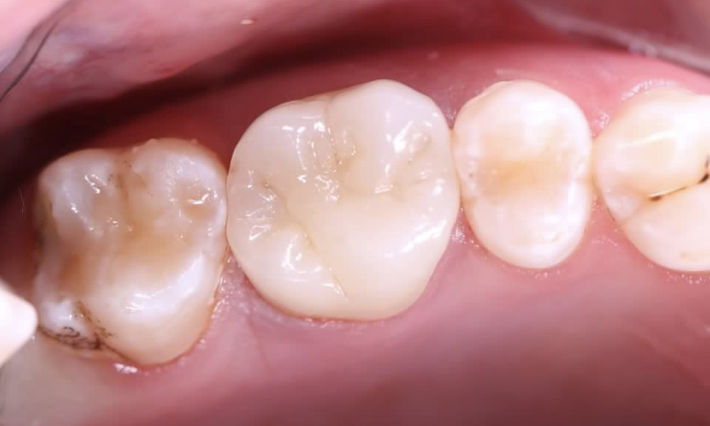
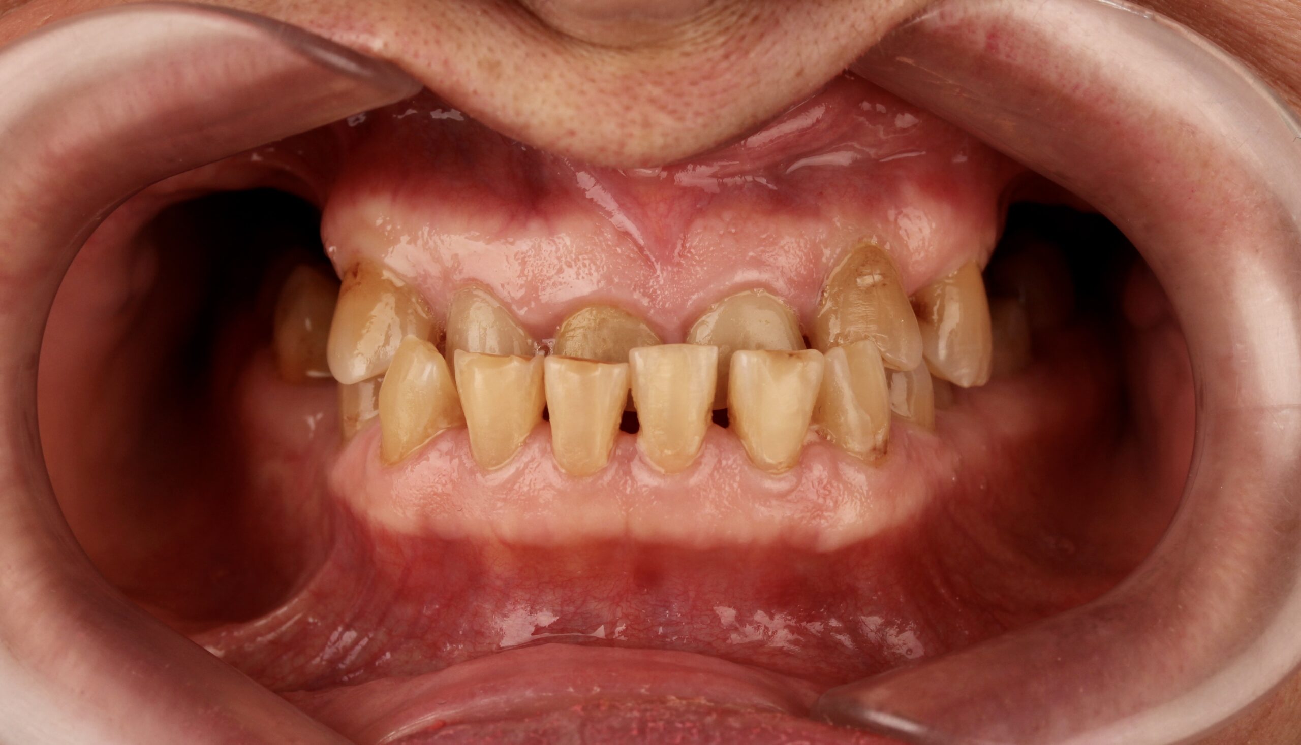
Лікування карієсу
Ефективне та безболісне лікування карієсу для здорових та міцних зубів


До
Після


До
Після


До
Після


До
Після
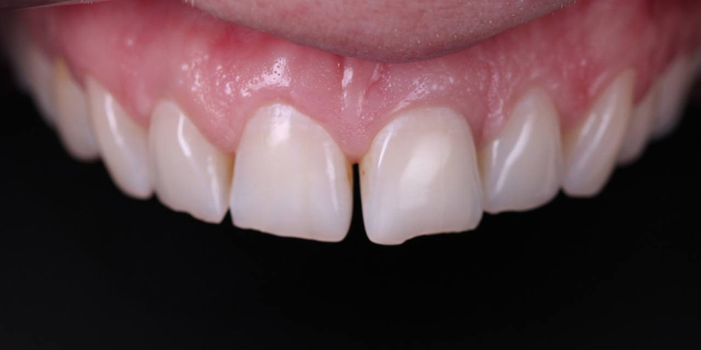
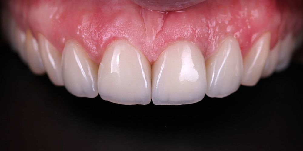
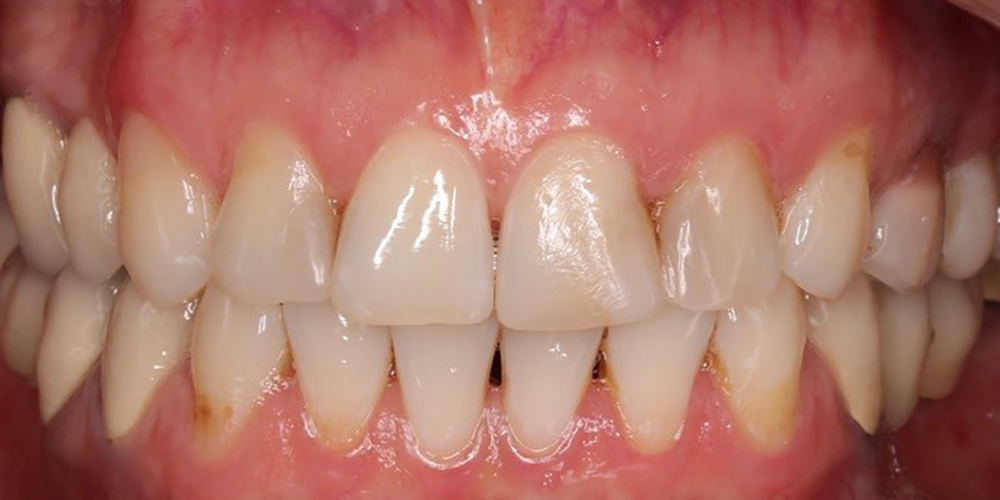
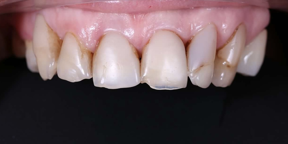
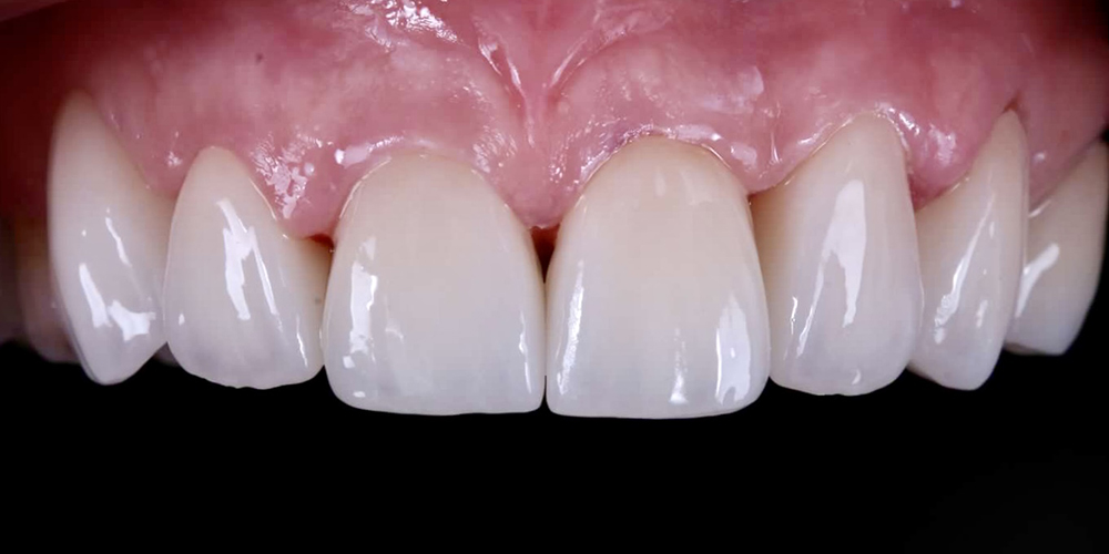
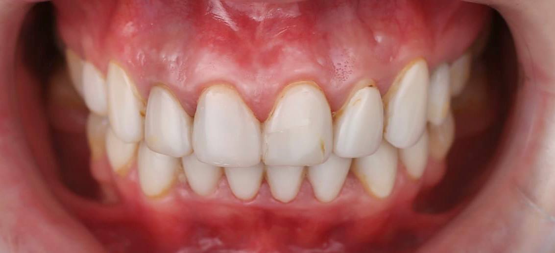
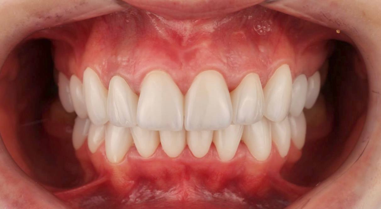
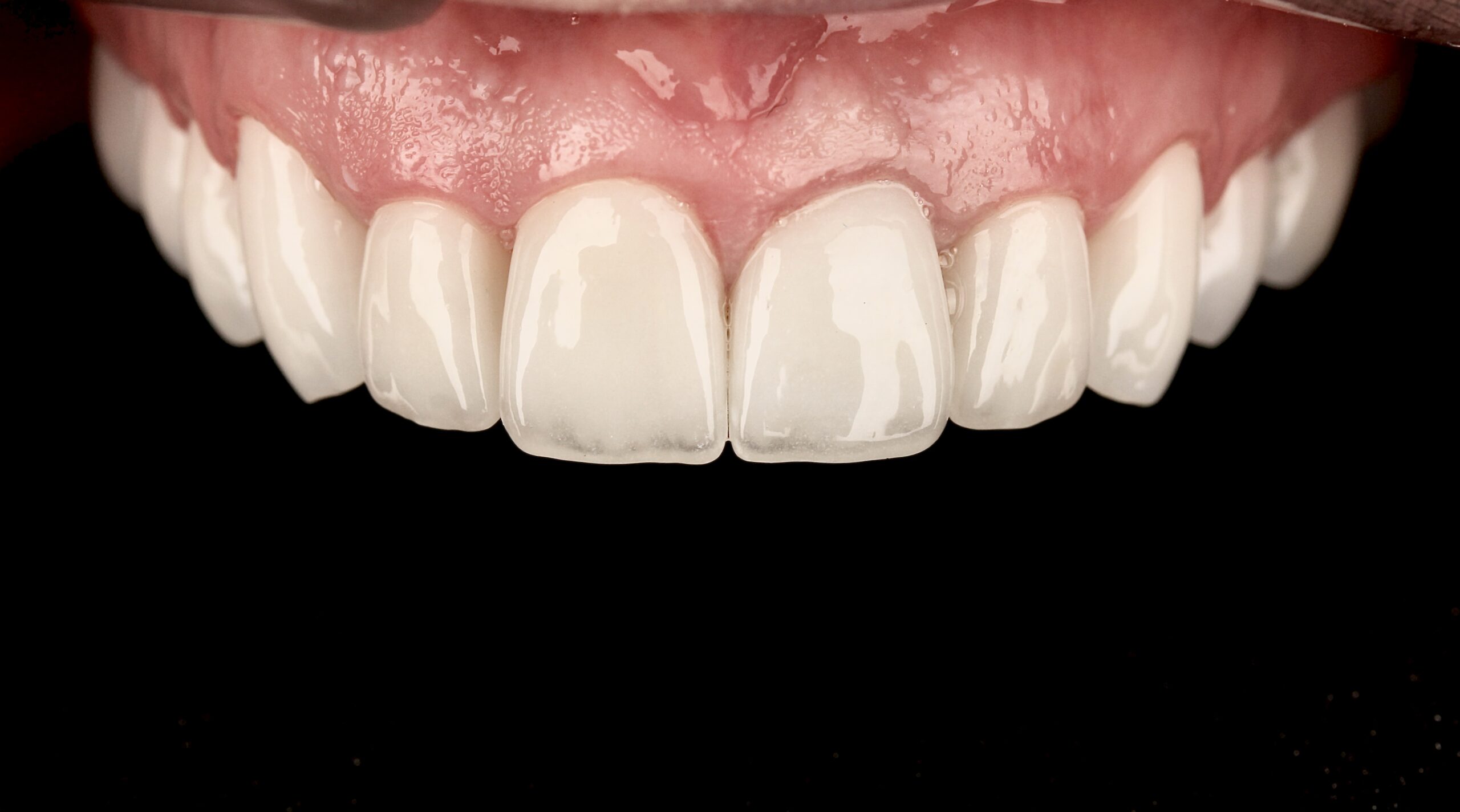
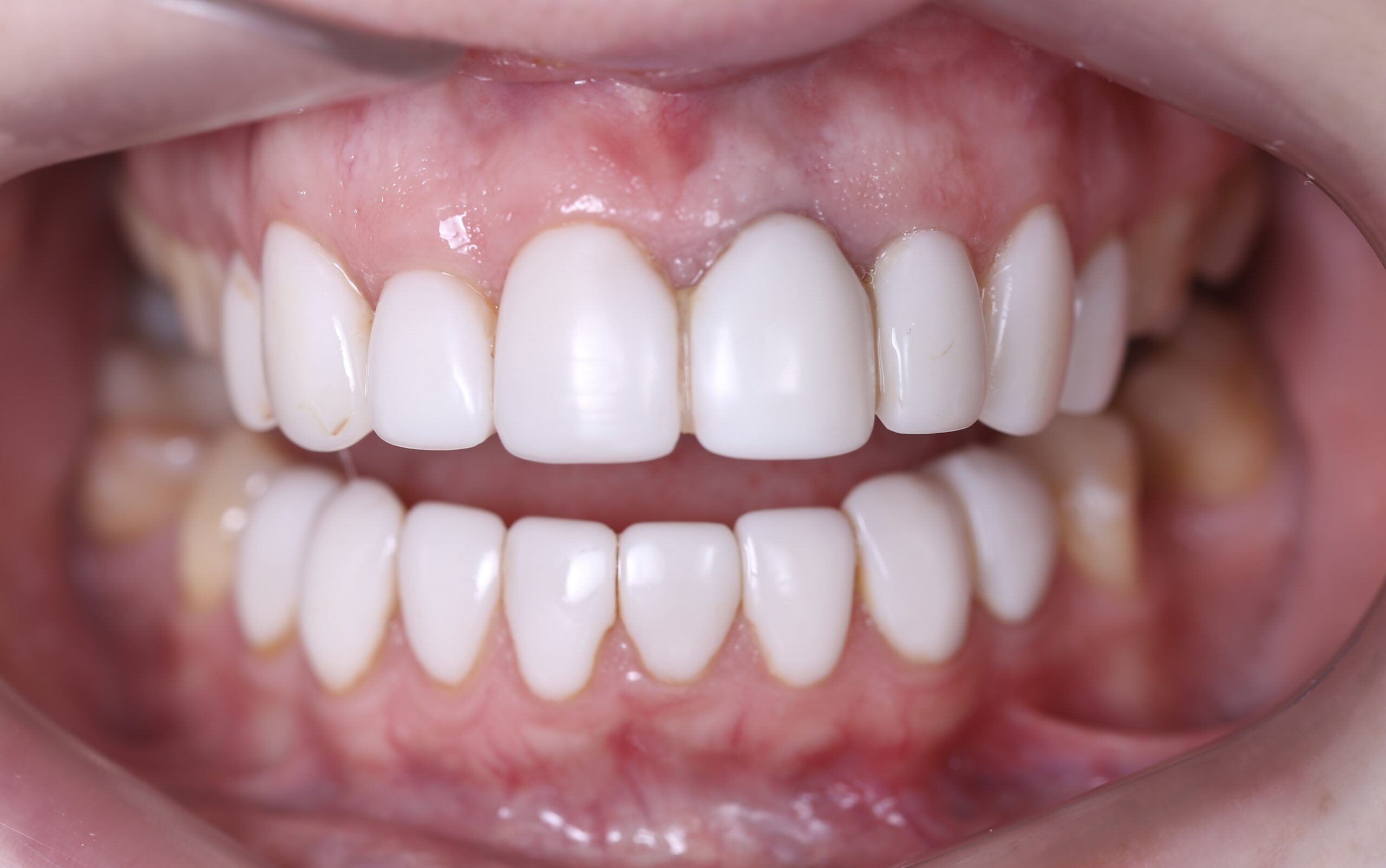
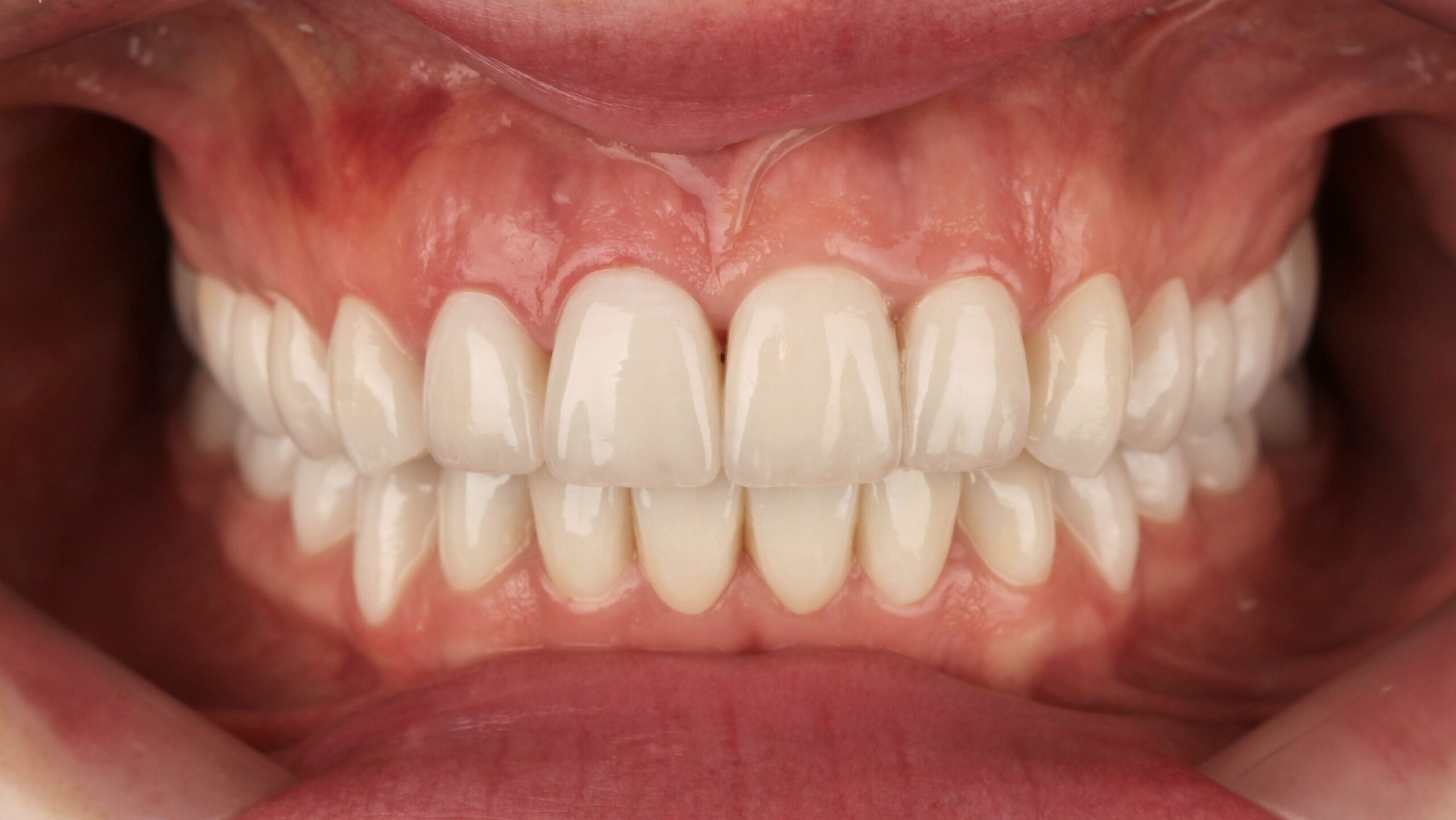
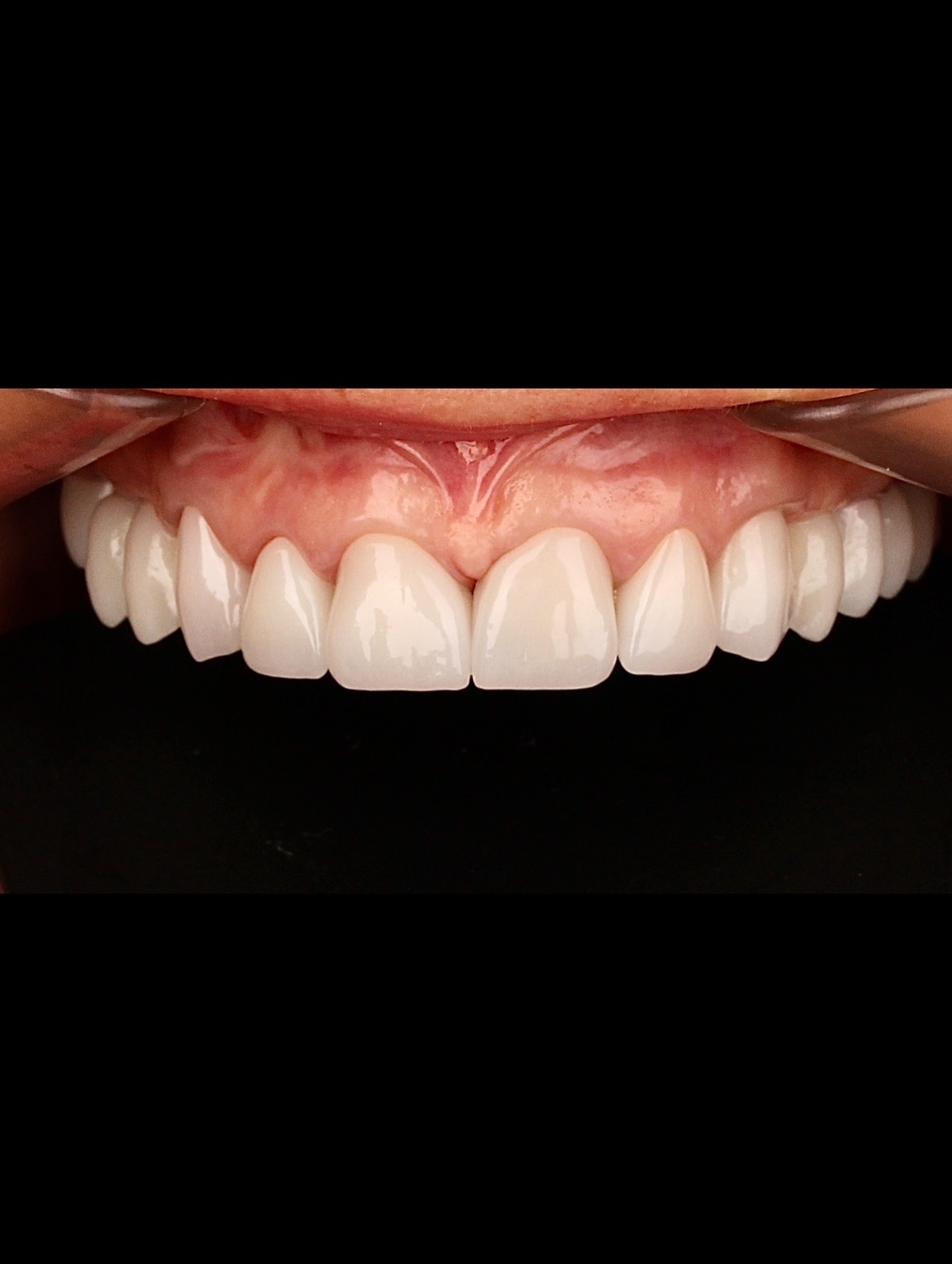
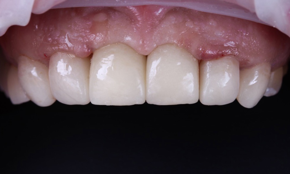
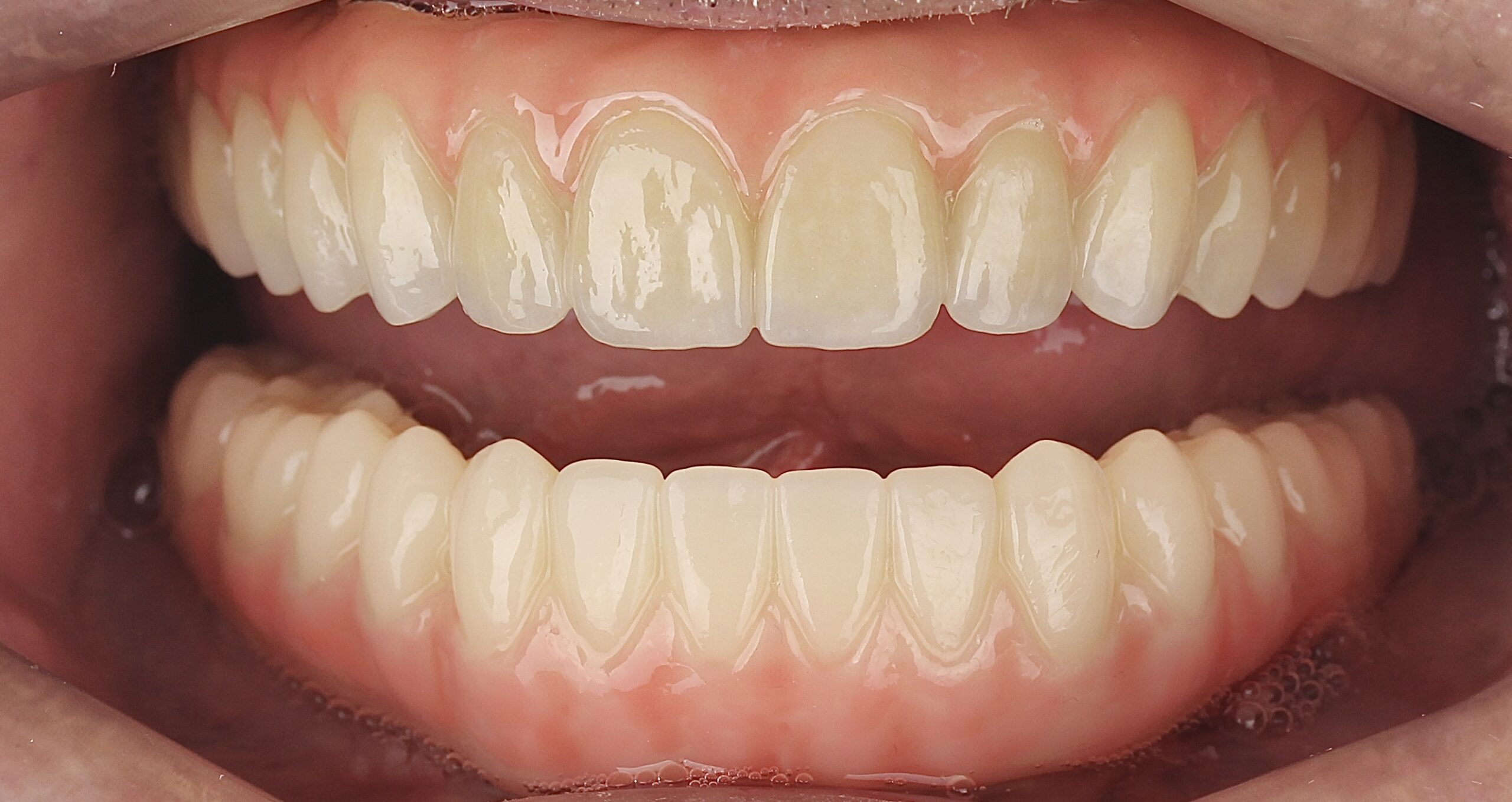
Встановлення керамічних вінірів
Перетворіть свою усмішку на бездоганне шедевральне мистецтво за допомогою керамічних вінірів


До
Після


До
Після


До
Після


До
Після


До
Після


До
Після


До
Після


До
Після


До
Після


До
Після


До
Після


До
Після


До
Після
Цирконієві коронки
Надійні та натурально виглядаючі коронки для відновлення функції та естетики зубів


До
Після


До
Після


До
Після
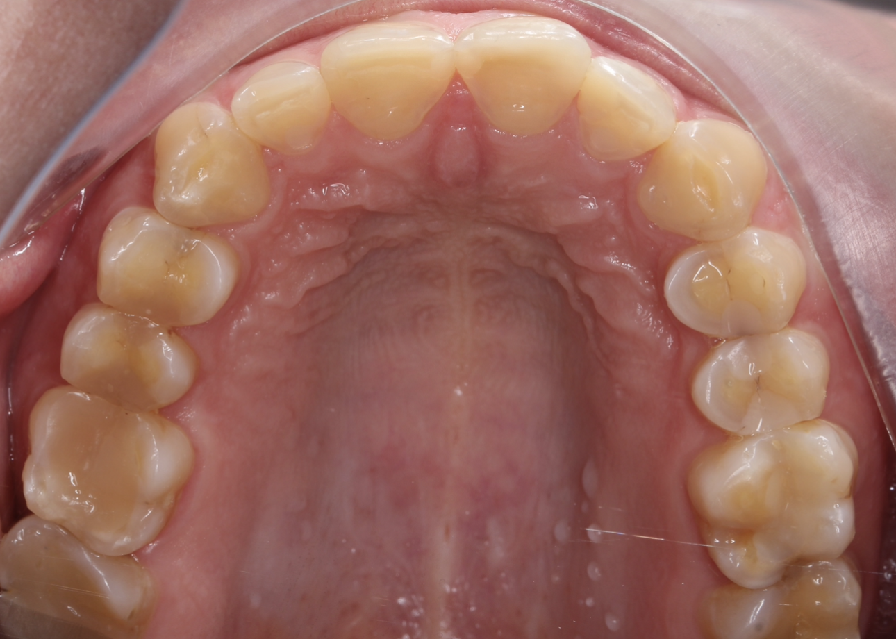
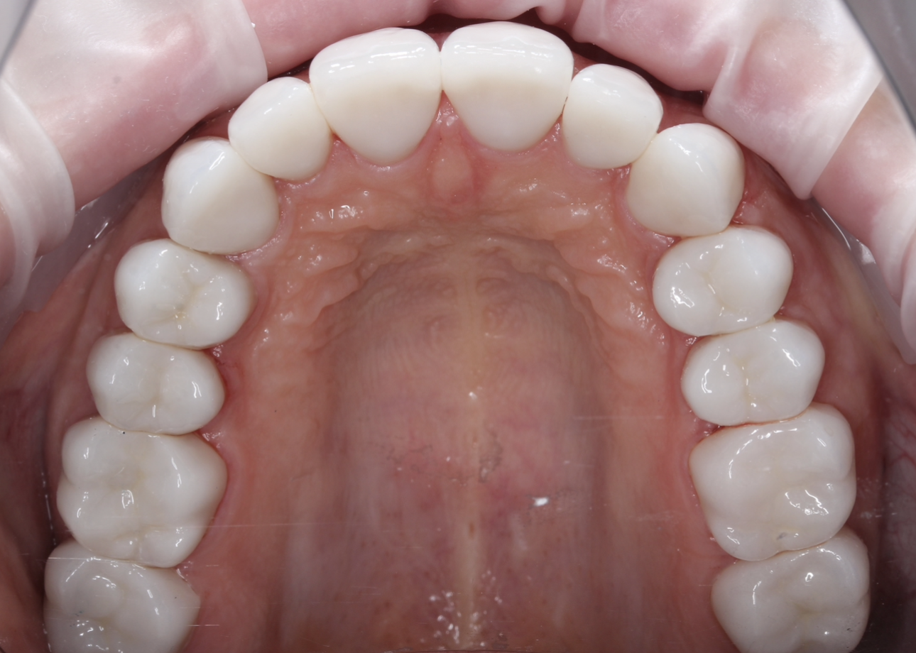
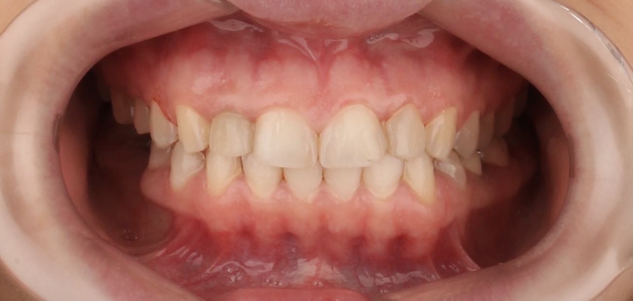
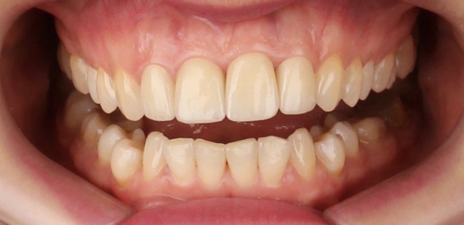
Брекети
Корекція прикусу та отримання прямої та прекрасно вирівняної усмішки за допомогою сучасних брекет-систем


До
Після
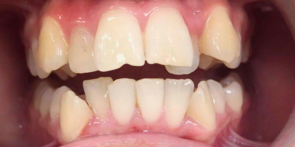
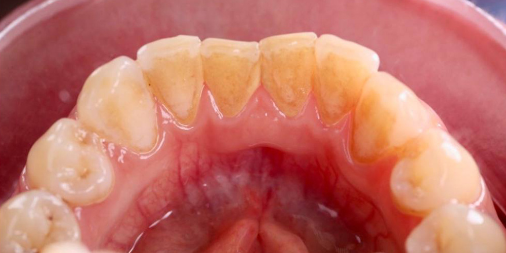
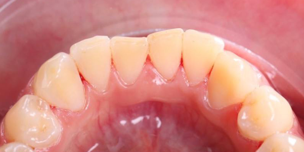
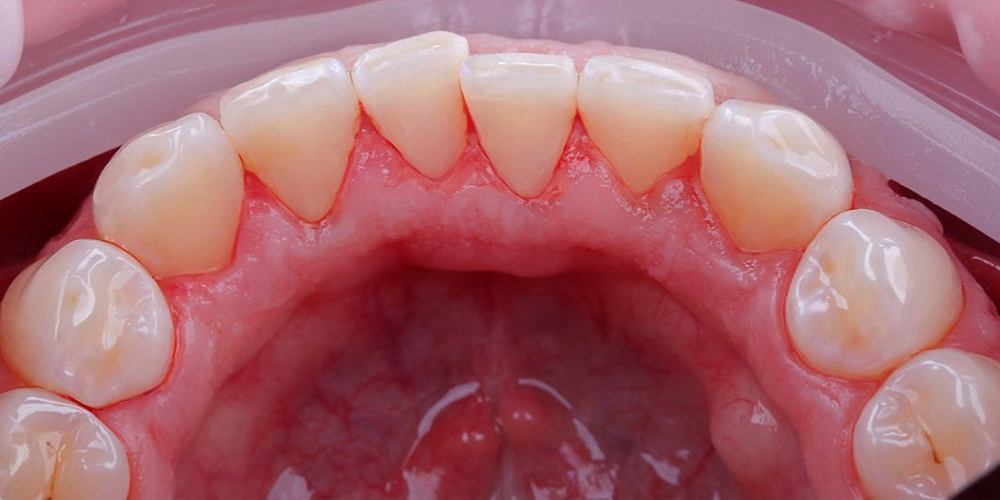
Ультразвукова чистка зубів
Повне й ніжне видалення нальоту та зубного каменю для здорових і сяючих зубів


До
Після


До
Після
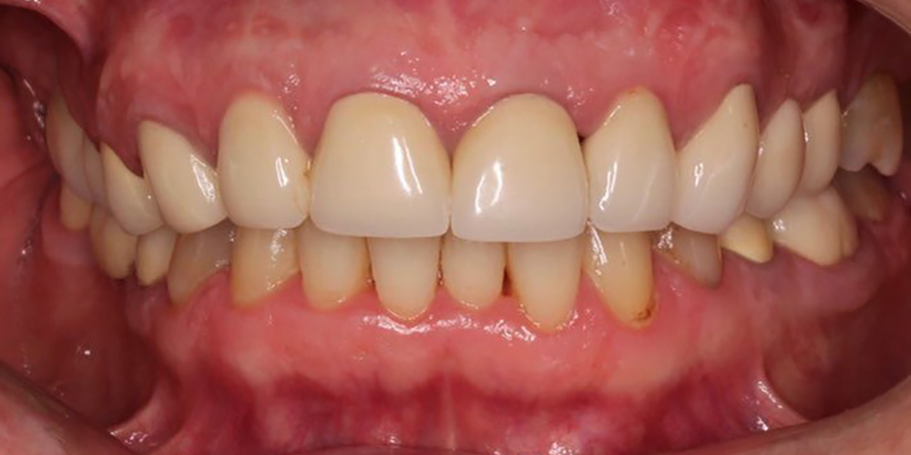
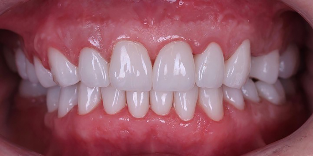
Тотальне протезування безметаловою керамікою
Отримайте повну функціональність та природну естетику зубів за допомогою протезів з безметалевої кераміки


До
Після
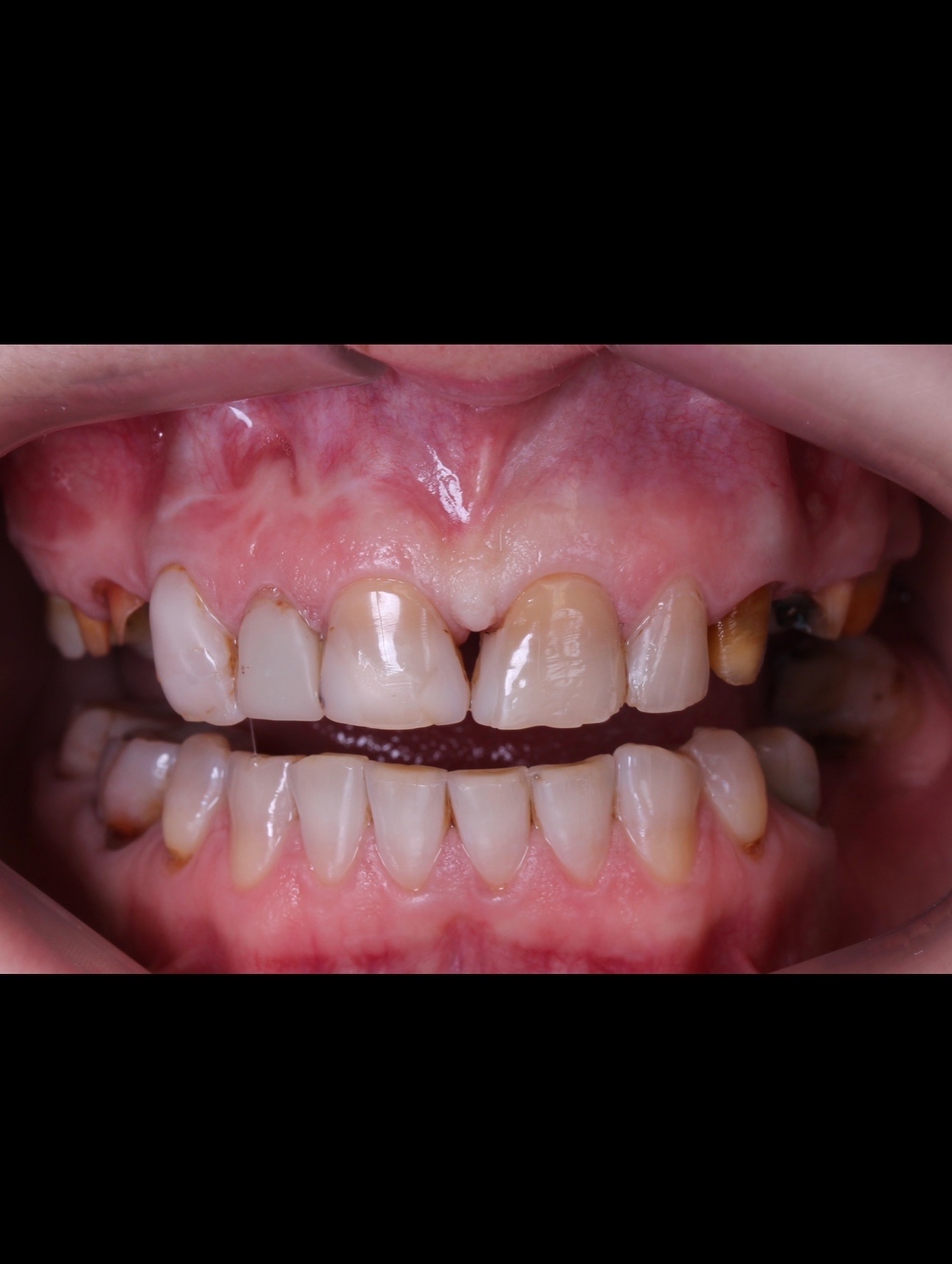
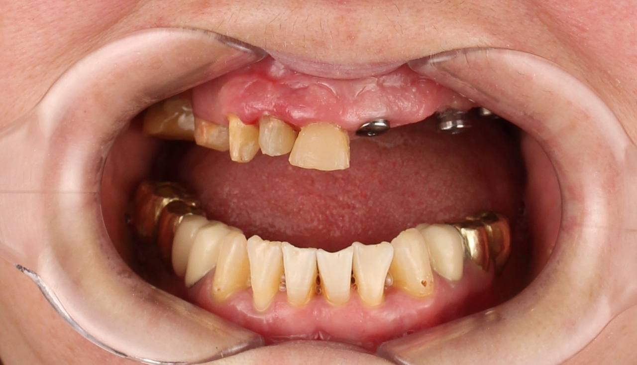
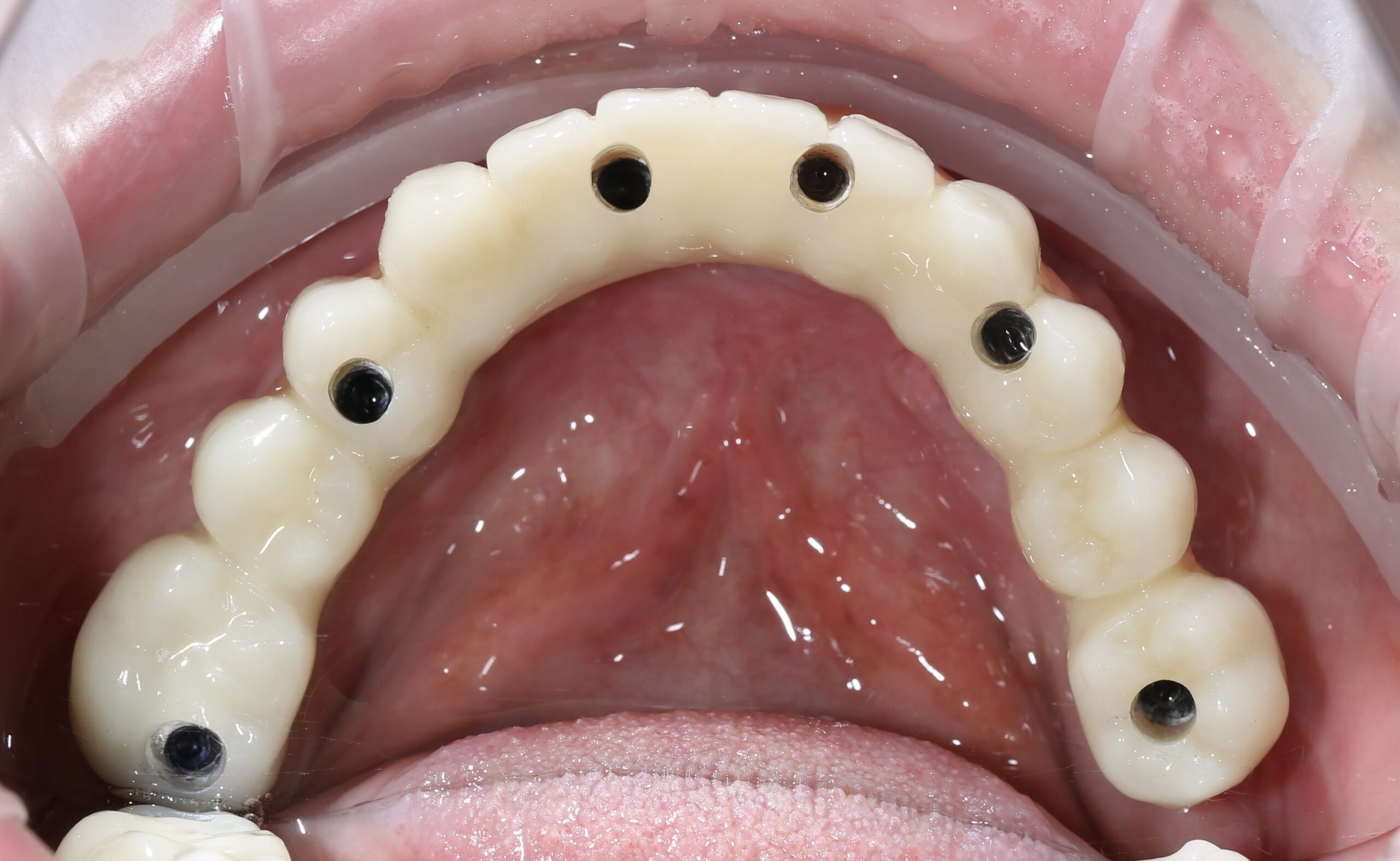
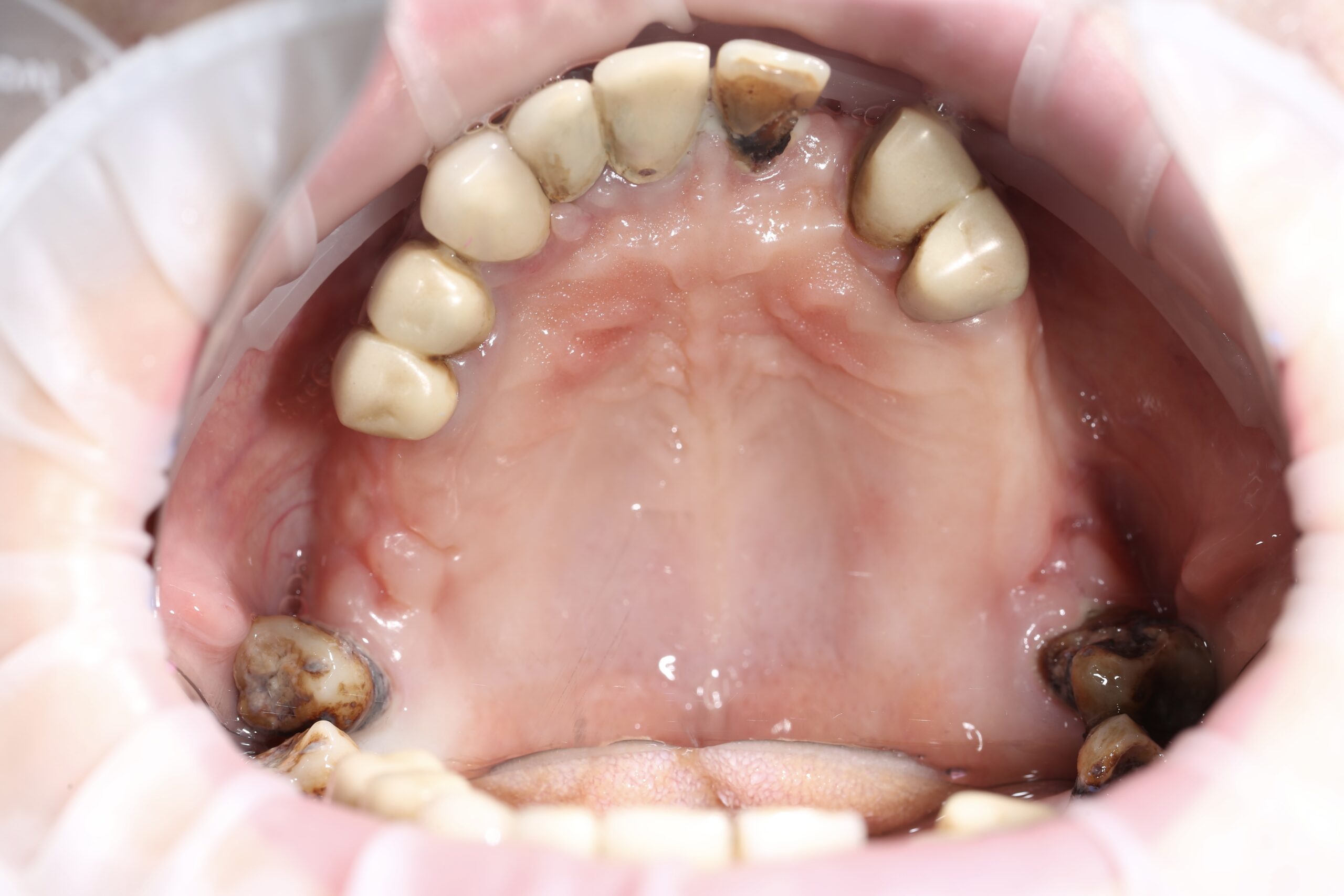
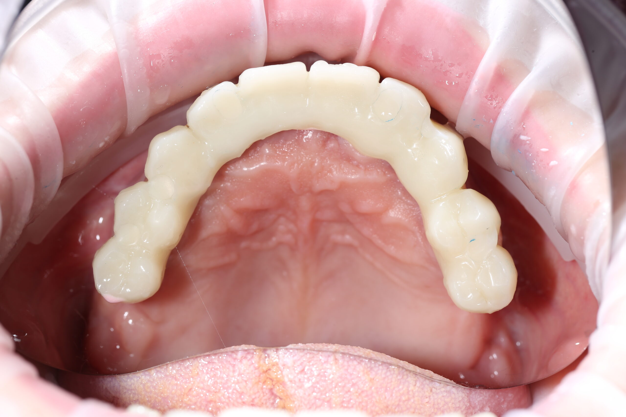
Тотальне протезування на імплантатах
Відновлення всіх зубів на одній або обох щелепах із повним поверненням жувальної функції, естетики та комфорту. Сучасні протезні рішення — від незнімних конструкцій на імплантатах до безметалевих коронок — забезпечують надійність, довговічність і природний вигляд усмішки.


До
Після


До
Після


До
Після


До
Після


До
Після


До
Після
Пацієнту встановлено 6 дентальних імплантантів на верхню щелепу та виготовлена постійна конструкція на них нижня щелепа запротезована цирконіевими коронками
Цифрові моделювання та макети
майбутніх зубів
Втілення вашої посмішки у віртуальній реальності та передбачення чудових результатів